Thông tin từng Boss

Tama

tama

  • Giống: Mèo Ta
  • Màu sắc: Đen
  • Tuổi: Nhỡ
  • Cân nặng: 1.5
  • Giới tính: Cái
  • Mã: T5175
  • Chip:
  • Nhận nuôi online bởi:

Thông tin


Triệt sản
Thân thiện với người
Chế độ ăn riêng
Tiêm dại
Thân thiện với chó
Đi vệ sinh đúng chỗ
Tiêm phòng bệnh
Thân thiện với mèo

Tìm hiểu về thú cưng


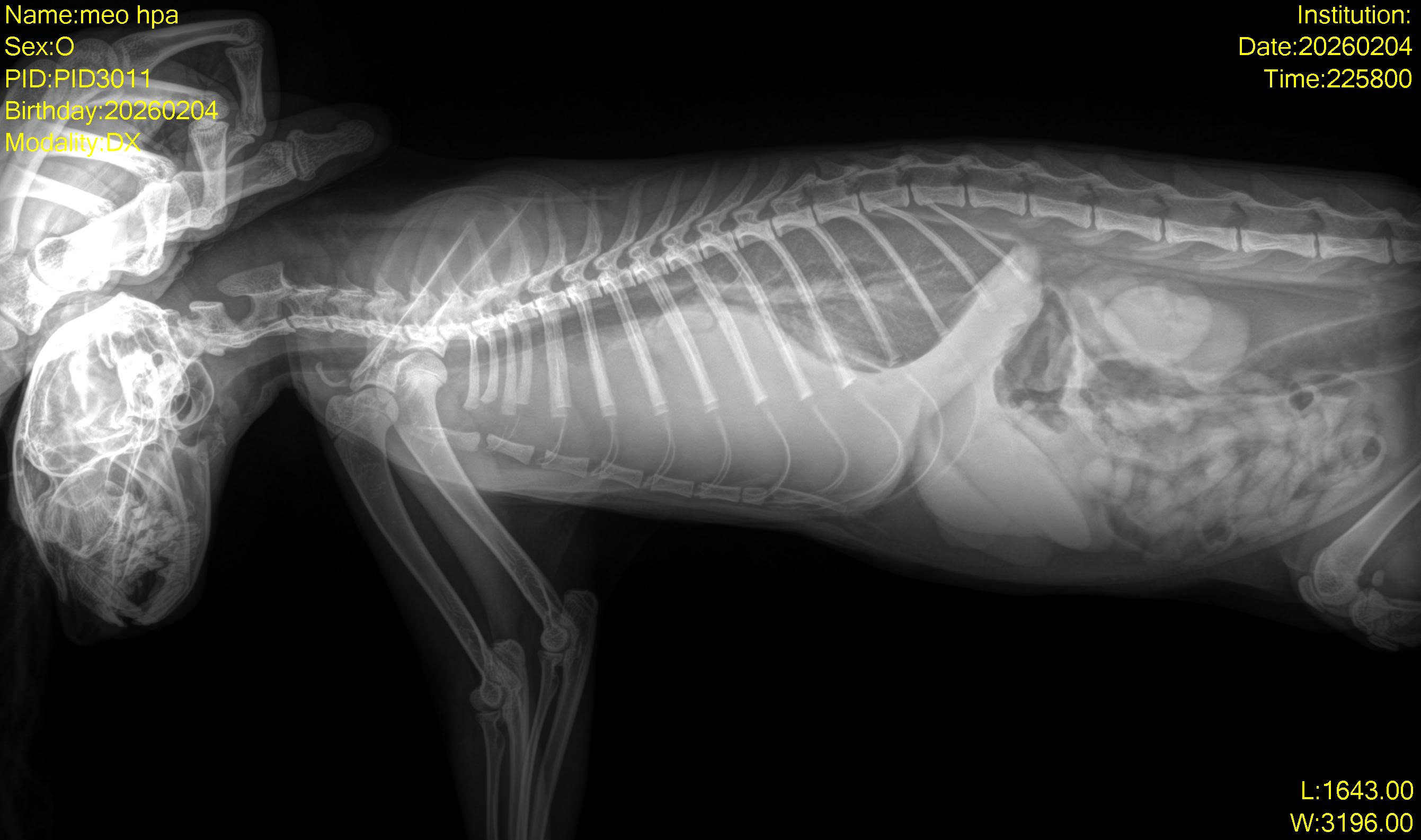
Bé được 1 bạn nhặt được ngoài đường. Bị khó thở, yếu. Đưa đến Solpet, chụp x-quang thấy tràn dịch màng phổi.

Bạn đã sẵn sàng giúp đỡ?

Quy trình nhận nuôi


Trước khi quyết định nhận nuôi bé chó hay mèo nào, bạn hãy tự hỏi bản thân rằng mình đã sẵn sàng để chịu trách nhiệm cả đời cho bé chưa, cả về tài chính, nơi ở cũng như tinh thần. Việc nhận nuôi cần được sự đồng thuận lớn từ bản thân bạn cũng như gia đình và những người liên quan. Xin cân nhắc kỹ trước khi liên hệ với HPA về việc nhận nuôi.

Bạn đã sẵn sàng? Hãy thực hiện các bước sau đây nhé:

1️⃣ Tìm hiểu về thú cưng bạn muốn nhận nuôi trên trang web của HPA.
2️⃣ Liên hệ với Tình nguyện viên phụ trách bé để tìm hiểu thêm về bé.
3️⃣ Tham gia phỏng vấn nhận nuôi.
4️⃣ Chuẩn bị cơ sở vật chất, ký giấy tờ nhận nuôi và đóng tiền vía để đón bé về.
5️⃣ Thường xuyên cập nhật về tình hình của bé, đặc biệt là khi có sự cố để được tư vấn kịp thời.

❗ Lưu ý:
- Chỉ inbox 01 Tình nguyện viên phỏng vấn, KHÔNG NÊN inbox tất cả danh sách. Trường hợp TNV chưa phản hồi lại trong vòng 1 ngày, vui lòng inbox cho Page.
- Phần phỏng vấn có thể có nhiều câu hỏi mang tính chất riêng tư, vì vậy mong bạn hãy kiên nhẫn nhé!
- Tiền vía mỗi bé sẽ khác nhau tùy thuộc vào tình trạng của bé khi cứu cũng như các dịch vụ y tế (tiêm phòng, triệt sản) đã thực hiện.
- Tiền vía dùng để trả các khoản chi về y tế trước đây cho bé, cũng như để hỗ trợ chi phí chăm sóc, nuôi dưỡng các bé khác tại nhà chung.
- Trường hợp không nuôi được tiếp cần trả lại cho Nhóm, không tự ý đem cho người khác.

🐕‍🦺 Nếu bạn chỉ có thể chăm sóc tạm thời (foster), tham khảo thông tin tại mục Tình nguyện.

🐈 Tìm hiểu thêm về chương trình Nhận nuôi Ảo ở banner cuối trang này.

điều kiện nhận nuôi
  • Tài chính tự chủ và ổn định.
  • Chỗ ở cố định, ưu tiên tại Hà Nội
  • Cam kết tiêm phòng và triệt sản .

Các bé khác

Bạn Chưa Đủ Điều Kiện Mang Boss Về Nhà? Tham gia chương trình Nhận nuôi Ảo nhé.

Tìm hiểu ngay